در دندانپزشکی مدرن، دستیابی به لبخندی زیبا و سالم تنها با یک درمان محقق نمیشود. بسیاری از بیماران علاوه بر نیاز به جایگزینی دندانهای از دست رفته، خواهان بهبود رنگ، فرم و هماهنگی دندانهای موجود نیز هستند. در چنین شرایطی، درمان ترکیبی ایمپلنت و لمینت یکی از پیشرفتهترین و مؤثرترین رویکردهای زیبایی و بازسازی محسوب میشود.
این درمان ترکیبی، با هدف ایجاد تناسب کامل بین عملکرد، استحکام و زیبایی لبخند، توسط متخصصان زیبایی دندان انجام میگیرد.
درمان ترکیبی زمانی انجام میشود که بیمار نیاز به جایگزینی دندانهای از دسترفته (با ایمپلنت) و اصلاح زیبایی دندانهای باقیمانده (با لمینت) داشته باشد.
در این روش، پس از جایگذاری ایمپلنت در نواحی بیدندان، برای سایر دندانها که دچار تغییر رنگ، ناهماهنگی یا شکستگیهای جزئی هستند، لمینت پرسلن طراحی و نصب میشود.
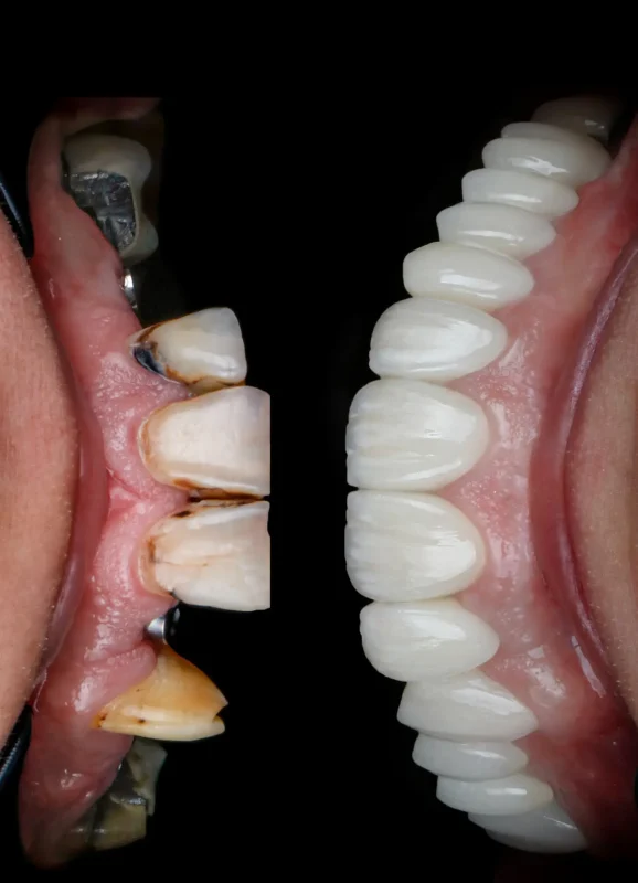
هدف نهایی، ایجاد لبخندی کاملاً هماهنگ، متقارن و طبیعی است؛ بهطوریکه هیچ تفاوتی میان دندان ایمپلنتشده و دندانهای لمینتشده قابل تشخیص نباشد.

ترکیب ایمپلنت و لمینت همزمان باعث میشود هم عملکرد طبیعی جویدن و گفتار بازگردد و هم رنگ و فرم دندانها بهصورت هماهنگ اصلاح شود.
انجام همزمان هر دو درمان در یک طرح درمان جامع، باعث کوتاهتر شدن مراحل مراجعه، قالبگیری و طراحی لبخند میشود. در بسیاری از کلینیکهای مجهز، این فرآیند با طراحی دیجیتال انجام میگیرد.
وقتی ایمپلنت و لمینت در یک بازه درمانی طراحی شوند، لابراتوار میتواند رنگ، شفافیت و بافت سطحی دندانها را یکپارچه سازد تا نتیجه کاملاً طبیعی و زیبا باشد.
ایمپلنت با جایگزینی ریشه دندان، مانع تحلیل استخوان فک میشود و با کمک لمینتهای جلویی، تقارن صورت و جوانی لبخند حفظ میگردد.
استفاده از مواد سرامیکی باکیفیت در لمینت و پایههای تیتانیومی در ایمپلنت، ماندگاری درمان را تا دهها سال تضمین میکند.

در این مرحله، با استفاده از طراحی دیجیتال لبخند (Digital Smile Design)، موقعیت ایمپلنتها، رنگ لمینتها و فرم نهایی لبخند مشخص میشود.
طراحی دیجیتال این امکان را میدهد که پیش از شروع درمان، نتیجه نهایی شبیهسازی و تأیید بیمار گرفته شود.
در نواحی فاقد دندان، ایمپلنتها بهصورت دقیق در استخوان فک کاشته میشوند. در برخی موارد، همزمان با جراحی ایمپلنت، پیوند استخوان یا لیفت لثه برای تقویت پایه انجام میشود.
در دوران جوش خوردن ایمپلنت، تاج موقت روی پایه قرار میگیرد تا طراحی لبخند حفظ شود. همزمان دندانهای طبیعی بیمار برای نصب لمینت آماده و قالبگیری میشوند.
پس از تکمیل دوره ترمیم، تاجهای ایمپلنت و لمینتهای پرسلن نهایی در کنار هم نصب میشوند. در این مرحله، هماهنگی رنگ، ارتفاع، و فرم لبخند بررسی و تنظیم میگردد تا نتیجه نهایی کاملاً طبیعی باشد.

یکی از چالشهای تخصصی این درمان، هماهنگی دقیق بین رنگ تاج ایمپلنت و لمینتهای مجاور است. برای دستیابی به نتیجه مطلوب، انتخاب رنگ باید با نور طبیعی و تجهیزات رنگسنج دیجیتال انجام شود.
لمینت نباید قبل از تثبیت کامل ایمپلنت انجام شود، زیرا تغییرات لثه یا موقعیت تاج میتواند هماهنگی لبخند را بر هم بزند. بهترین زمان انجام لمینت، پس از گذشت ۳ تا ۶ ماه از کاشت ایمپلنت است.
در ایمپلنت، پایههای تیتانیومی یا زیرکونیایی بسته به موقعیت فک و ناحیه لبخند انتخاب میشوند. برای لمینت نیز نوع پرسلن با شفافیت بالا (مانند e.max یا zirconia-based veneers) بهترین گزینه است.
این درمان برای افرادی مناسب است که:
