بهترین دندانپزشک زیبایی در تهران

کلینیک دندانپزشکی دکتر مهرداد فلاح

دندانپزشکی زیبایی

هدف از دندانپزشکی زیبایی بهبود شکل و ظاهر دندان‌ها و لبخند است، با حفظ سلامت دهان. خدمات ما شامل سفید کردن دندان‌ها، کامپوزیت دندان، لمینت دندان، روکش دندان، ارتودنسی، بریج و ایمپلنت می‌شود.

کلینیک دندانپزشکی دکتر مهرداد فلاح
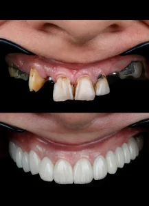
دندانپزشک زیبایی در تهران - طراحی لبخند قبل و بعد دندانپزشک زیبایی در تهران - طراحی لبخند قبل و بعد بهترین دندانپزشک زیبایی تهران - نمونه کار کامپوزیت ونیر بهترین دندانپزشک زیبایی تهران - نمونه کار کامپوزیت ونیر دندانپزشک زیبایی در تهران - طراحی لبخند قبل دندانپزشک زیبایی در تهران - طراحی لبخند قبل دندانپزشک زیبایی در تهران - طراحی لبخند قبل دندانپزشک زیبایی در تهران - طراحی لبخند قبل دندانپزشک زیبایی در تهران - طراحی لبخند قبل دندانپزشک زیبایی در تهران - طراحی لبخند قبل دندانپزشک زیبایی در تهران - طراحی لبخند قبل دندانپزشک زیبایی در تهران - طراحی لبخند قبل دندانپزشک زیبایی در تهران - طراحی لبخند قبل دندانپزشک زیبایی در تهران - طراحی لبخند قبل دندانپزشک زیبایی در تهران - طراحی لبخند قبل دندانپزشک زیبایی در تهران - طراحی لبخند قبل دندانپزشک زیبایی در تهران - طراحی لبخند قبل دندانپزشک زیبایی در تهران - طراحی لبخند قبل دندانپزشک زیبایی در تهران - طراحی لبخند قبل دندانپزشک زیبایی در تهران - طراحی لبخند قبل

دکتر مهرداد فلاح متخصص دندانپزشک زیبایی و ترمیمی

سال 1378 اخذ مدرک دکترای دندانپزشکی از دانشگاه شهید بهشتی تهران، سال 1380 دوره رزیدنتی دندانپزشکی ترمیمی و سال 1382 اتمام دوره تخصصی دندانپزشکی و اخذ بورد تخصصی در رشته دندانپزشکی زیبایی و ترمیمی.

اگر به دنبال بهترین دندانپزشک زیبایی در تهران هستید، کلینیک دکتر مهرداد فلاح در خیابان شریعتی یکی از معتبرترین مراکز دندانپزشکی زیبایی تهران محسوب می‌شود.

دکتر مهرداد فلاح

چرا کلینیک دکتر مهرداد فلاح؟

آیکون تخصص

تخصص و تجربه

دکتر مهرداد فلاح با بیش از ۲۰ سال تجربه، بهترین خدمات دندانپزشکی زیبایی در تهران را ارائه می‌دهد.

آیکون تجهیزات مدرن

تجهیزات پیشرفته

استفاده از جدیدترین تکنولوژی‌های دندانپزشکی برای نتایج دقیق و ماندگار در کلینیک شریعتی.

آیکون رضایت مشتری

رضایت بالای مشتریان

صدها بیمار راضی از خدمات زیبایی و ترمیمی کلینیک دندانپزشکی دکتر فلاح در تهران.

زیبایی دندانپزشکی

درمان‌های دندانپزشکی زیبایی

راه‌حل‌های مدرن برای زیبایی بیشتر

لبخندی دلنشین که نمایانگر دندان‌های زیبا، سفید و مرتب است از مهم‌ترین جلوه‌های زیبایی در چهره است که حس اعتماد به نفس را در فرد می‌افزاید.

امروزه آرزوی داشتن لبخند زیبا به کمک پیشرفت علم دندانپزشکی، به امری آسان و امکان‌پذیر بدل گشته است.

در این شاخه از علم دندانپزشکی از درمان‌های مختلف نظیر بلیچینگ، ونیر، ایمپلنت و ... به‌منظور هر چه زیباتر کردن دندان‌ها استفاده می‌شود.

مشاهده نمونه‌کارها

سوالات متداول

آیا کلینیک دکتر فلاح در محدوده شریعتی فعالیت می‌کند؟

بله، کلینیک در خیابان شریعتی تهران واقع شده و به راحتی از طریق مترو یا خودروی شخصی در دسترس است.

هزینه دندانپزشکی زیبایی در تهران چقدر است؟

بسته به نوع درمان (لمینت، کامپوزیت، طراحی لبخند و ...) هزینه‌ها متفاوت است. برای مشاوره و برآورد دقیق، با ما تماس بگیرید.

آخرین مقالات به‌روزشده